Mako Robotic Shoulder Replacement Surgeon in West Palm Beach, Jupiter, Palm Beach Gardens, FL
Frequent dislocations of the shoulder joint can lead to chronic shoulder instability. Surgery to stabilize the shoulder may be recommended when conservative treatment options fail. Brian W. Hill, M.D., Orthopaedic Surgeon, Shoulder & Elbow Specialist provides diagnosis and individualized nonoperative and operative treatments for the shoulder including Mako Robotic Shoulder Replacement in West Palm Beach, Jupiter, Palm Beach Gardens, FL. Brian W. Hill, M.D., Orthopaedic Surgeon, Shoulder & Elbow Specialist also provides the highest level of care during and after surgery. Contact Brian W. Hill, M.D., Orthopaedic Surgeon, Shoulder & Elbow Specialist’s office for an appointment today!

Shoulder pain can severely limit your ability to reach, lift, and enjoy daily activities. For patients needing shoulder replacement, precision and accuracy during surgery are critical to restoring natural movement and improving long-term outcomes. At Palm Beach Orthopaedic Institute, Dr. Brian Hill is proud to offer the latest advancement in shoulder surgery – Mako SmartRobotics™ Shoulder Replacement.
What Is Mako Robotic Shoulder Replacement?
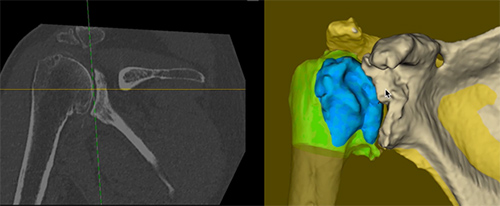
Mako SmartRoboticsâ„¢ combines 3D imaging, robotic arm assistance, and advanced surgical planning to help your surgeon perform shoulder replacement with greater accuracy than traditional methods. Before surgery, a CT scan creates a personalized 3D model of your shoulder. This allows Dr. Hill to design a surgical plan tailored to your anatomy.

During surgery, the Mako system provides real-time guidance and haptic technology to help ensure implant components are placed exactly as planned, preserving bone and protecting surrounding tissue.
The Mako Shoulder Application has received FDA clearance for use in reverse shoulder replacement, specifically for robotic glenoid preparation and baseplate placement. Stryker has also announced plans to expand this technology to anatomic shoulder replacement in the future.
Reverse Shoulder Replacement with Mako SmartRoboticsâ„¢
Many patients with severe arthritis, complex rotator cuff tears, or failed prior shoulder surgery may require a reverse shoulder replacement. In this procedure, the normal ball-and-socket structure of the shoulder is "reversed," allowing other muscles — particularly the deltoid — to take over lifting and arm movement.
Because reverse shoulder replacement requires precise alignment for stability and range of motion, Mako robotic guidance is especially valuable. By creating a personalized 3D surgical plan, Dr. Hill can position the implant components with high accuracy, which helps improve outcomes, reduce complications, and restore function more reliably.

Benefits of Mako SmartRoboticsâ„¢ for Reverse Shoulder Replacement
Patients may experience:
- Personalized surgical planning based on their unique anatomy
- Improved implant positioning and alignment for long-term stability
- FDA-cleared robotic technology for reverse shoulder arthroplasty
- Reduced risk of complications such as implant loosening or instability
- Less pain and faster recovery compared to traditional techniques
- Restored range of motion to return to the activities you love
Dr. Brian Hill is dedicated to offering his patients the most innovative treatment options available. By combining his surgical expertise with the precision of the Mako robotic system, Dr. Hill provides a safer, more predictable, and highly customized shoulder replacement experience.
Is Mako Shoulder Replacement Right for You?
If shoulder arthritis, injury, or degeneration is limiting your daily life, you may be a candidate for robotic-assisted shoulder replacement. Dr. Hill will carefully evaluate your condition and discuss whether Mako SmartRoboticsâ„¢ for reverse shoulder replacement is the right choice for you.
Schedule a consultation with Dr. Brian Hill at Palm Beach Orthopaedic Institute to learn more about the benefits of Mako Robotic Shoulder Replacement.